Shoulder Impingement











Shoulder Anatomy

Impingement syndrome occurs when the rotator cuff muscles and tendons start to get compressed or pinches between the humeral head and the acromion.  The bursa can get inflammed.  




Rotator_Image2

When the impingement syndrome goes on for a longer period of time, a tear in the rotator cuff can develop.  It is therefore important to recognize and treat should impingement syndrome early on to try and avoid more severe injuries.





A00032F04

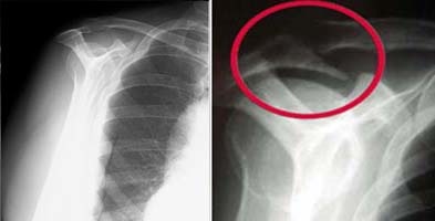
X-rays will often show a "downsloping" acromion which can contribute to the symptoms of impingement syndrome





SubacromialBursaInjection

An injection into the subacromial space can often be very helpful to reduce the inflammation associated with impingement syndrome.  It is important to localize the site of the injection properly.  Sometimes ultrasound guided injection can be very helpful to maximize the results of the injection.


Rotator_Image3

If shoulder impingement continues despite all other measures being taken to cure the problem, occasionally surgery is necessary.  The main focus of the surgery is to reduce the impingement or pinching of the rotator cuff tendons between the humeral head and acromion.  The most typical procedure that is performed is called an acromioplasty.  This is where the undersurface and downsloping part of the acromion is removed to give the rotator cuff tendons more room.  This will allow them to heal.

© Raymond Severt 2013